Saúde
Dentista orienta melhora da higiene bucal para combater o tártaro
JB News
Por Fábio Monteiro
Esse é um dos problemas dentários mais comuns entre os brasileiros
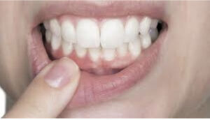
O tártaro é um dos problemas dentários mais comuns entre os brasileiros e quando não tratado pode resultar em cáries, mau hálito, retração gengival, gengivite e perda óssea, dentre outros problemas.
Na maioria das vezes, esse problema pode ser tratado com uma limpeza ou raspagem, que pode ser feita pelo próprio dentista em consultório. A dentista do Sistema Hapvida, Rafaela Magda de Oliveira Almeida, explica que uma das maneiras de evitar o tártaro é cuidar da higiene bucal.
“Uma boa higienização da cavidade bucal dos dentes é essencial para prevenir tanto o tártaro, como qualquer outro tipo de doença na boca”, reforça a especialista. Ela comenta ainda que o trabalho de limpeza tem que ser completo, atingir todos os dentes e nos locais onde a escova de dente não possa alcançar.
Para tanto, o ideal é usar o fio dental, e ainda, conforme destaca a profissional, fazer o uso de soluções para aumentar ainda mais o grau de limpeza.
Sobre as pessoas que têm os dentes que ela classifica como “apinhados”, que é ainda mais difícil de fazer a higiene, Rafaela Almeida explica que é preciso ter o cuidado redobrado. “O que recomendamos é que nesse caso o ortodontista seja procurado para que a pessoa possa fazer um tratamento que devolva os dentes para a posição ideal”, disse.
Isso porque, esse espaçamento provoca o chamado biofilme (antes chamado de placa bacteriana), que por ser um espaço muito maior entre os dentes, propicia o crescimento do tártaro, o que pode levar a problemas mais sérios como a cárie e gengivite.

O tártaro não só prejudica a saúde dos dentes e gengiva, mas também causa sérios problemas estéticos, já que, por ser poroso, absorve manchas com facilidade, fazendo com que pessoas que fumam ou tomam muito café precisem ter o dobro de cuidado com ele.
Saúde
Saúde entrega primeiros veículos para transporte intermunicipal de pacientes e anuncia mais de R$ 400 milhões para o Ceará
Neste sábado (18), o Governo do Brasil deu um passo histórico para assegurar o deslocamento de pessoas que precisam de radioterapia e hemodiálise ofertados em cidades distantes de onde elas moram. Por meio do programa Agora Tem Especialistas, entregou os primeiros 26 veículos de transporte sanitário doados pelo Ministério da Saúde ao Ceará. Trata-se da iniciativa Caminhos da Saúde, que viabilizou, com R$ 15,2 milhões em recursos federais, a aquisição dos micro-ônibus. Esses veículos vão levar pacientes do SUS até onde a assistência é oferecida, em municípios acima de 50 km do local onde residem.
A iniciativa começa no Ceará e se estenderá aos demais estados brasileiros a partir da próxima semana. De Fortaleza (CE), onde chegaram os primeiros micro-ônibus com capacidade para 30 pessoas, o ministro da Saúde, Alexandre Padilha, destacou a importância da nova frente do programa, já que a dificuldade da garantia de transporte sanitário é um dos principais gargalos para a continuidade de tratamentos.
“Estamos fazendo aqui, no Ceará, a entrega de uma inovação do programa: micro-ônibus, vans e ambulâncias para garantir um transporte digno aos pacientes. E é exatamente essa ideia de você ter um transporte adequado, com dignidade, com acessibilidade, e que não tire a ambulância que serve para outros tipos de atendimento no município”, destacou.

Foto: Walterson Rosa/MS
Redução de distâncias e garantia de tratamento
Atualmente, milhares de brasileiros enfrentam longas distâncias para ter acesso a atendimentos especializados na rede pública de saúde. No caso do Ceará, por exemplo, a população pode percorrer até 350 km para chegar a Sobral, Barbalha ou Fortaleza, cidades onde é ofertado o serviço de radioterapia. Para se submeterem a esse tratamento oncológico ou a hemodiálise, cerca de 14 mil pacientes e seus acompanhantes ganharam a garantia de um transporte gratuito, adequado e contínuo até onde a assistência está. Isso significa que a iniciativa do Governo do Brasil garantirá que a população realize todo o tratamento sem interrupções por conta do deslocamento.
O transporte sanitário do Agora Tem Especialistas vai atender todos os municípios brasileiros dentro de suas macrorregiões de saúde. Isso significa que os veículos não pertencem a um município específico. Eles serão distribuídos conforme a necessidade, o que possibilita organização mais eficiente e integrada do atendimento conforme as características regionais, as demandas locais e distâncias percorridas.
Mais de 400 milhões para fortalecer a saúde no Ceará
Ainda em Fortaleza (CE), o ministro anunciou parte de um pacote de ações do Agora Tem Especialistas. “Hoje estamos entregando mais de R$ 400 milhões do Governo do Brasil para a saúde do Ceará. Esses recursos vão garantir o funcionamento integral do Hospital Universitário Estadual, com mais leitos, mais cirurgias, mais especialidade e a consolidação de um dos mais importante Hospital Universitário do Nordeste. Uma parte desse recurso é também, para equipar as Unidades Básicas de saúde (UBS), ampliando a capacidade de atendimento, o contato com especialistas e o uso da teleconsulta para cuidar melhor das pessoas”, destacou.
Para o Hospital Universitário do Ceará (HUC), Padilha destacou o incremento de R$ 276 milhões no repasse de recursos para custear atendimentos de saúde de média e alta complexidade, possibilitando a implantação de 261 leitos hospitalares. Já o investimento em leitos de UTI passa de R$ 24,7 milhões. Além disso, o HUC foi habilitado como Unidade de Assistência de Alta Complexidade em Oncologia (UNACON) com serviço de hematologia com R$ 6,6 milhões.
Além disso, a saúde bucal será reforçada com 32 novas Unidades Odontológicas Móveis (UOMs) em 32 municípios identificados como vulneráveis e com maior dificuldade de deslocamento da população até as unidades básicas de saúde. As UOMs fazem parte do programa Brasil Sorridente, que reduz barreiras geográficas e amplia a oferta de cuidados nesses locais. O investimento é de R$ 12,8 milhões.
Ainda na área odontológica, o Governo do Brasil entregou ao Ceará 189 equipamentos para tratamento de saúde bucal. Os kits incluem bomba a vácuo, motor para endodontia e localizador endodôntico e representam um investimento de R$ 374,6 mil. Entregou, também, 9 combos de cirurgia que equivalem a R$ 13,8 milhões.
Já para qualificar o atendimento de 36 Unidades Básicas de Saúde (UBS), o Ministério da Saúde destinou ao estado combos de equipamentos, no valor de R$ 2 milhões, com dinamômetro digital, doppler vascular portátil, eletrocautério, tábua de propriecepção e retinógrafo. Somente o município de Fortaleza recebeu 108 equipamentos.

Foto: Walterson Rosa/MS
Nova maternidade com foco no atendimento humanizado
Na cidade de Caucaia (PE), localizada na região metropolitana de Fortaleza, Alexandre Padilha assinou uma ordem de serviço de R$ 103 milhões para a construção de uma maternidade. Com capacidade para até 100 leitos, oferecerá desde o pré-natal até o pós-natal com estrutura para casos de alto risco, capacitação e humanização no atendimento. Com 8.200 m2 de área construída, essa unidade integra o Novo PAC Saúde com outras 34 selecionadas.
“Celebrando a vida e fortalecendo a saúde do Ceará, damos início à construção de uma grande maternidade, que terá toda a estrutura necessária para mães e bebês. Sabemos que não há nada mais importante para uma família do que a saúde do bebê e da gestante. São mais de 100 milhões de reais em investimentos para construir e equipar esta unidade,” destacou Padilha.
Fortalecimento da formação de especialistas no SUS
Durante a agenda, foi formalizada a Certificação do Instituto do Câncer do Ceará como Hospital de ensino. Com isso, a pasta soma mais de 10 estabelecimentos de saúde certificados só este ano, outros hospitais estão em fase de análise. A ação reforça a prioridade do Governo do Brasil de qualificar os ambientes de aprendizagem, valorizando as unidades de saúde, além de ampliar a integração entre gestão, ensino e Serviço.
A certificação de hospitais de ensino é uma pauta retomada em 2025, pela gestão do presidente Lula. Além de reconhecer as ações prioritárias para a gestão que, aliados a tomada de decisão baseada em evidências, prioriza programas como o Mais Médicos e o Agora Tem Especialistas.
Valorização profissional
O ministro Alexandre Padilha também entregou a profissionais de saúde carteiras de sanitaristas. A profissão foi regulamentada no último dia 7 de abril, medida que representa um avanço estratégico para o fortalecimento do SUS, ao ampliar e consolidar as políticas públicas de saúde no país como vigilância epidemiológica, planejamento de políticas públicas e gestão de serviços.
O Decreto nº 12.921, de 6 de abril de 2026, regulamenta a Lei nº 14.725, de 16 de novembro de 2023, de autoria do ministro Padilha quando deputado, e formaliza o registro profissional. De acordo com o texto, o Ministério da Saúde, por meio da Secretaria de Gestão do Trabalho e da Educação na Saúde (SGTES), será responsável pelo registro. Caberá à secretaria definir o processo de solicitação do registro profissional de sanitarista, incluindo os documentos e dados necessários.
Gabriel Lisita
Fábio Barreto
Ministério da Saúde
Fonte: Ministério da Saúde
-
Estadual7 dias atrásOperação Pentágono desarticula atuação interestadual e responsabiliza envolvidos no ataque em Confresa
-
CUIABÁ6 dias atrásHomem é encontrado morto em motel de Cuiabá com sangramento na cabeça; polícia apura circunstâncias
-
Policial5 dias atrásPolícia Civil desarticula esquema milionário de desvio de dinheiro na Prefeitura de Livramento operação mira ex-servidora, empresário, secretário e PM
-
Economia6 dias atrásLIDE e ALMT reúnem Henrique Meirelles, Hamilton Mourão, Aldo Rebelo Max Ruasi e gigantes da política e da economia nacional para discutir o futuro de Mato Grosso em Cuiabá
-
Policial5 dias atrásLíder religioso é condenado por enganar adolescentes e usar religião para cometer crimes sexuais
-
Policial7 dias atrás“Ela me deu três facadas”, diz idoso de 75 anos preso ao confessar morte brutal de jovem de 20 anos em Tapurah
-
Economia5 dias atrásEm Cuiabá, Aldo Rebelo critica alta de gastos e impostos por parte do governo federal e diz que Brasil trava seu potencial de crescimento, VEJA O VÍDEO
-
CUIABÁ5 dias atrásPaula Calil diz que Plano Diretor de Abilio segue modelo “estilo Curitiba”, mas alerta: Cuiabá não tem o mesmo clima, transporte de qualidade, estrutura para levar polo ecoindustrial à Guia








